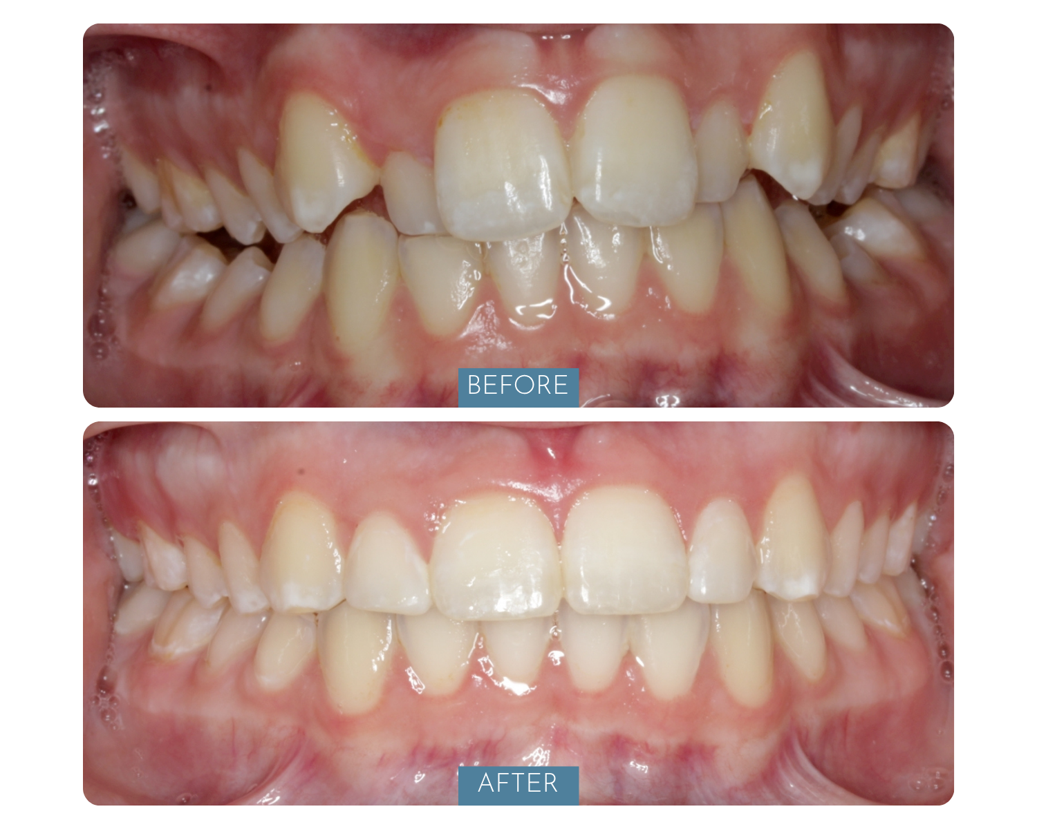
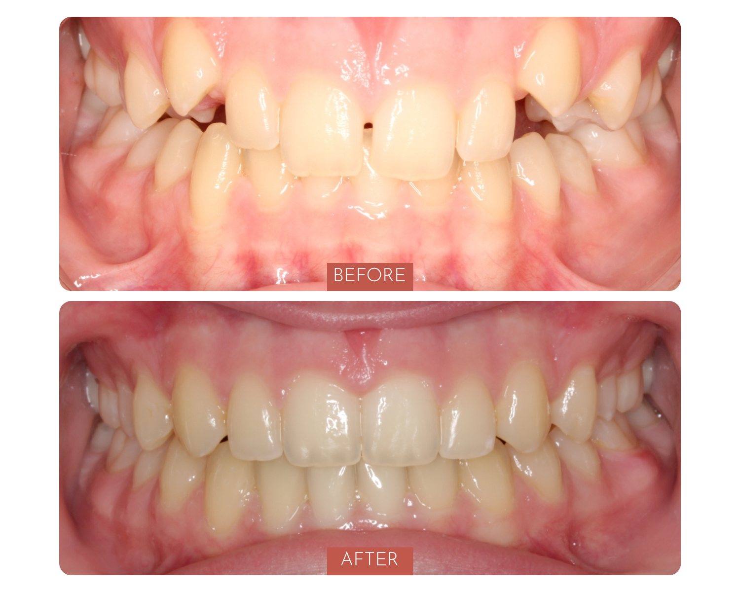
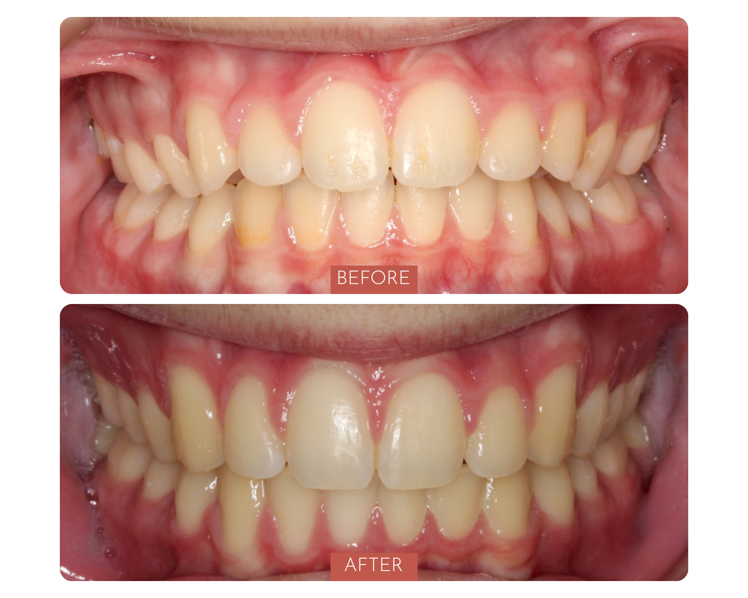
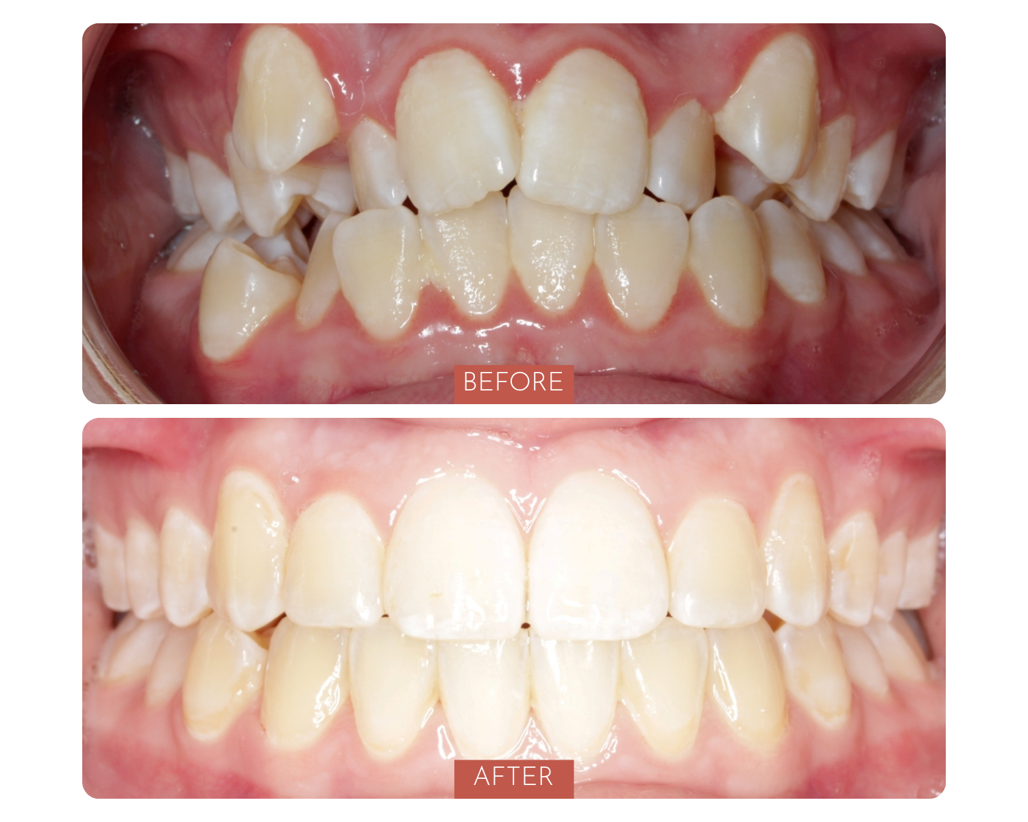
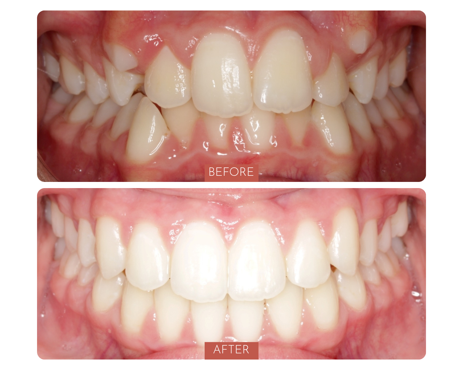
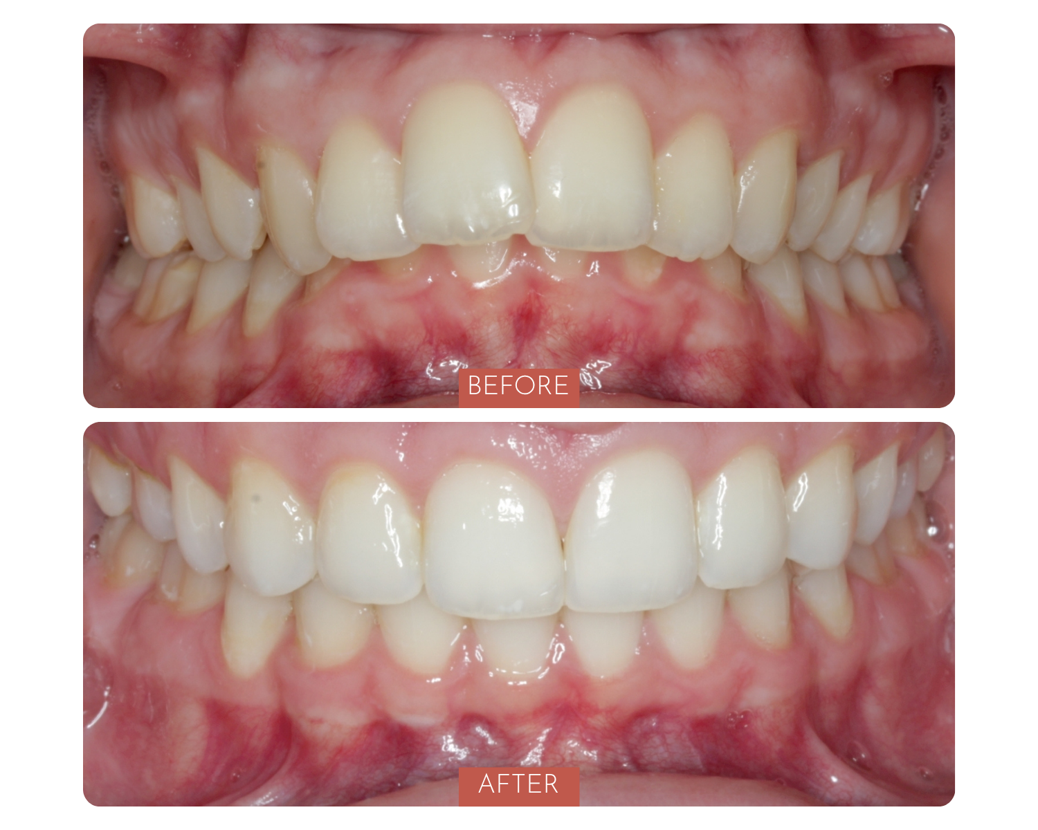
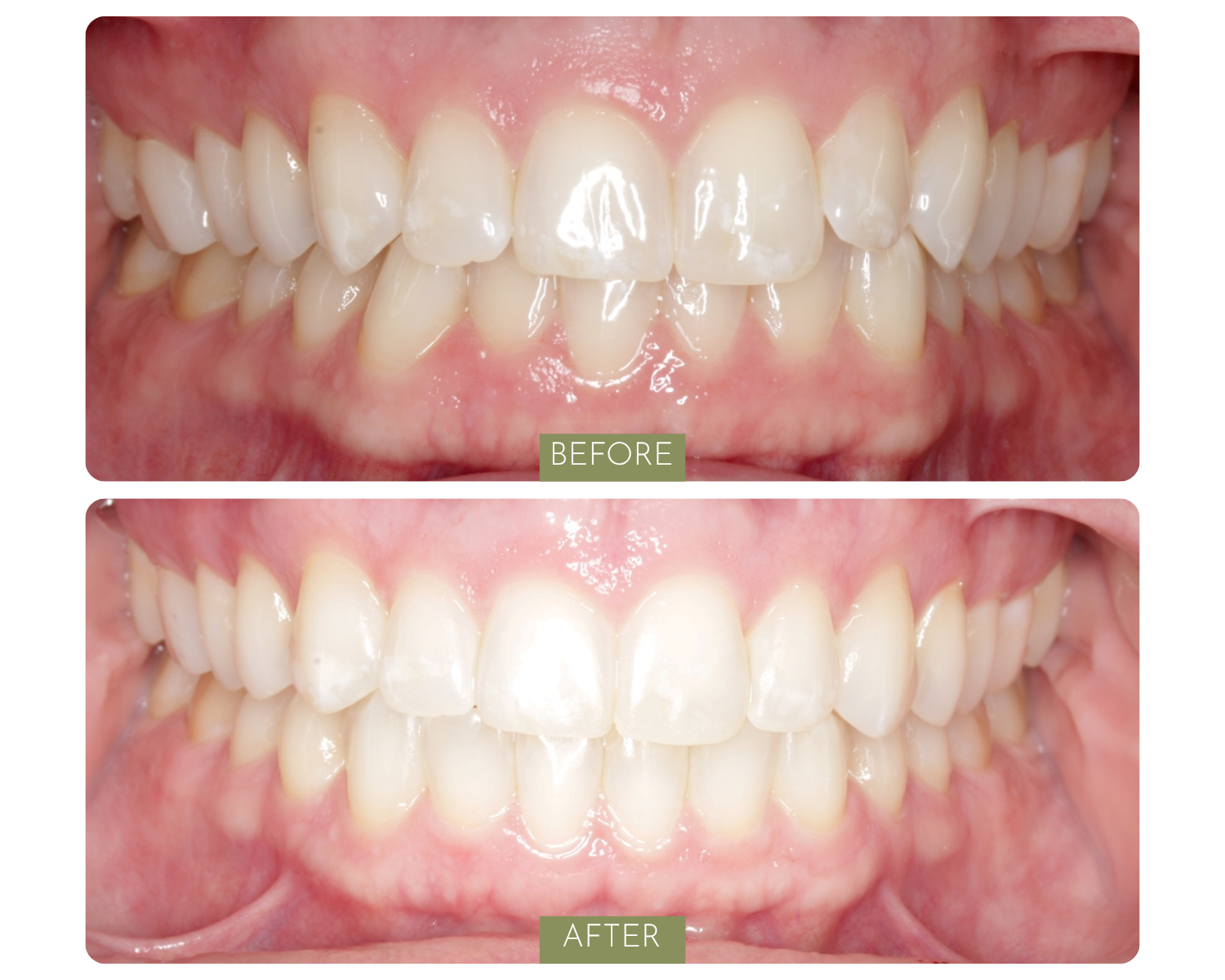
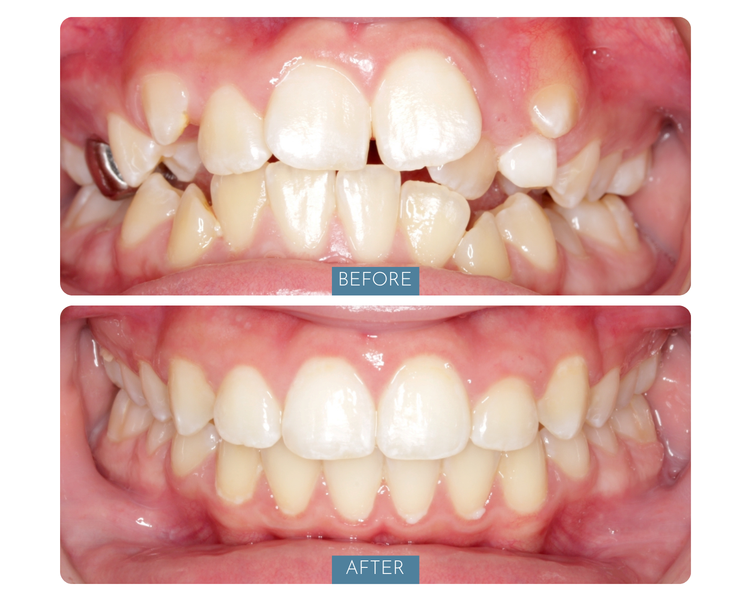
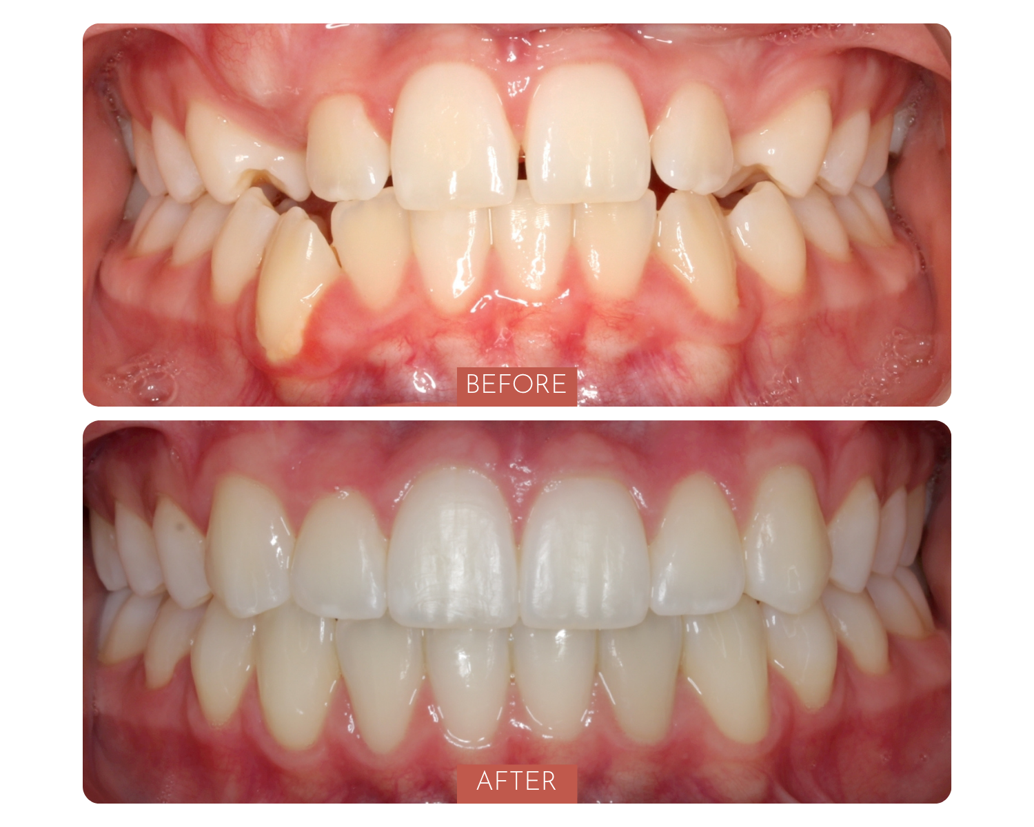
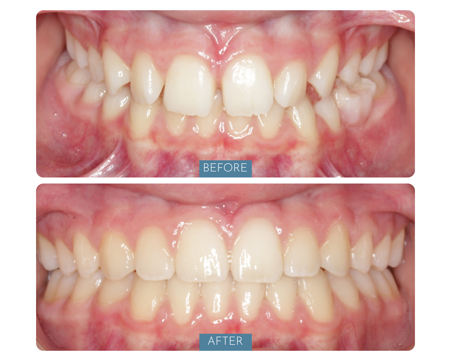
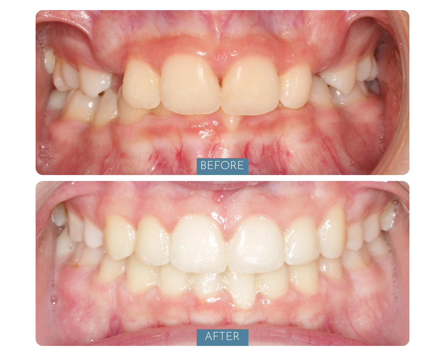
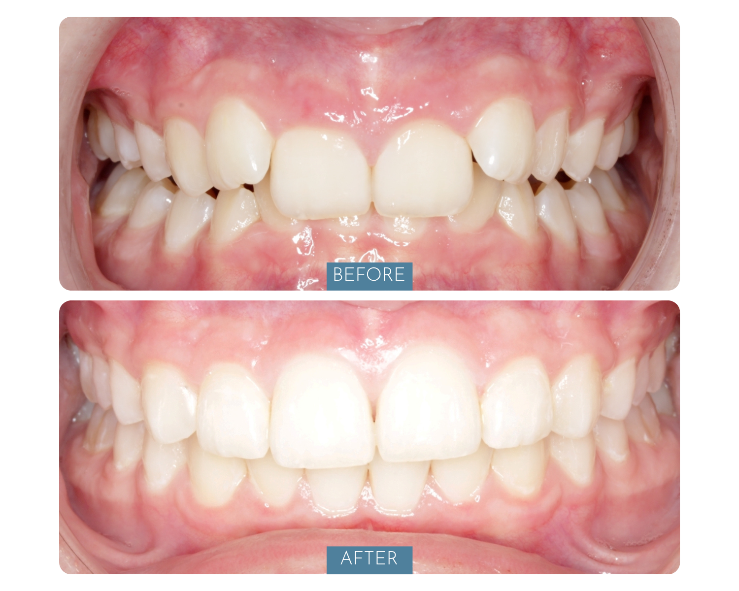
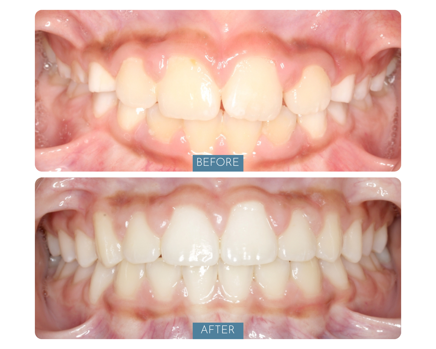
See What Your Smile Could Become

Explore real before and after cases from Idaho Falls patients who trusted East Idaho Orthodontics.

KIDS

TEENS

ADULTS