IDAHO FALLS ORTHODONTIST

Simply Better Smiles

Advanced braces, clear aligners, and personalized care designed around your life and your budget. We take our time, sweat the details, and make every visit worth it.

BUILT FOR BUSY PEOPLE

We make great smiles possible for busy families and adults with flexible payments, efficient visits, and personalized care.

Between work, school, and everything else on your calendar, braces or aligners can feel overwhelming. We simplify the entire process with flexible payment options, efficient appointments, and advanced treatment like Damon Braces and clear aligners. You show up. We handle the rest.

Outline of a tooth with a light green border on a black background.

Braces

Classic, reliable, and incredibly precise. Today’s braces are smaller, more comfortable, and perfect for everything from simple fixes to complex bite changes. Great for kids, teens, and adults who want powerful and predictable results.

Outline of a tooth in olive green color.

Clear Aligners

Nearly invisible. Removable. Easy to live with. Straighten your teeth without metal or food restrictions. Perfect for busy teens and adults who want flexibility and low profile treatment.

Outline of a tooth with a green border and black interior.

Damon Braces

High tech braces that work smarter, not harder. Lighter forces, fewer appointments, and often faster results. Perfect for patients who want a smoother, more efficient treatment experience

Outline of a tooth with a dental mirror inside

Early Orthodontic Treatment

A small head start now can prevent bigger problems later. We guide growth early to make future treatment easier. Perfect for kids around age seven and up.

Outline illustration of a tooth, possibly representing dental care or dentistry.

Retainers

Keep your smile exactly where it belongs. Custom fit, comfortable, and made to protect your results long term. Perfect for every patient finishing treatment

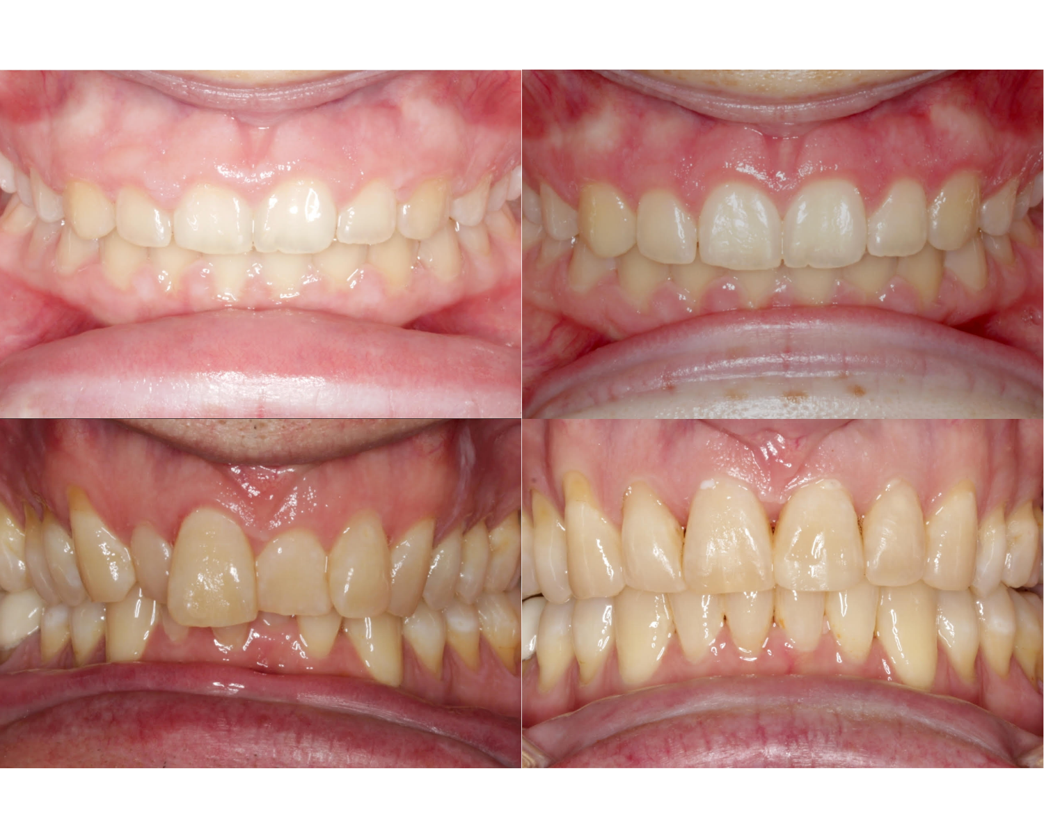
Characteristics of an East Idaho Orthodontics Smile

Before and after of a smile alignment treatment in Idaho Falls

Smile Width

We create broad, balanced smiles that fill the space naturally, reducing dark corners and helping your smile look brighter and more open.

Before and after images of a detail and finishing treatment on a patient

Detail & Alignment

The bite and the detail of every tooth position is perfected so your smile looks incredible and functions exactly as it should.

Before and after a smile arc treatment on a woman

Smile Arc

Your teeth should follow the curve of your lower lip when you smile. This subtle detail makes your smile look softer, younger, and more effortless.

Comparison of dental images showing before and after orthodontic treatment, highlighting changes in tooth alignment and spacing.

Finishing Touch

Final refinements include soft and hard tissue contouring to perfect the shape of each tooth and the surrounding gum line. We fine tune edges, symmetry, and proportions so your smile looks natural, balanced, and complete

Dr. Higham in a dark blue polo shirt standing in a dental clinic, smiling with arms crossed, with dental equipment and black-and-white abstract wall art in the background.
A cartoon tooth wearing sunglasses and smiling.
A black and white cartoon illustration of a toothbrush with legs and arms, walking.

THE GUY BEHIND THE SMILES

Say Hi to Dr. Higham

Here’s the truth. Orthodontics is not just about brackets. It is about you. Your confidence, your comfort, your future. That is exactly how Dr Higham sees it. Idaho raised with big city training, he brings expert care and a small town heart to every patient and every smile.

4.9 STARS BY 120+ PATIENTS

  • “Love East Idaho Orthodontics! I myself had braces here and now 2 kids with braces. Dr. Higham's attention to detail is unmatched! He is very knowledgeable and awesome to work with and he cares about your results as much or more than you do. His staff is also top notch. I would 10/10 recommend!”

    -Kathrin G.

  • “Dr. Higham is knowledgeable & willing to do whatever it takes to make sure you're satisfied with the outcome. This is really reassuring, because mistakes were made on my teeth by another doctor & Dr. Higham is using his expertise to correct them. I wasn't aware this was even possible, but apparently a good orthodontist can do a lot.”

    -Gemma S.

  • “We can’t say enough good things about this office! Dr. Higham took such great care and paid attention to any details or concerns we had. We never felt like a number in this office but felt like family. Our son’s teeth turned out amazing and he now has confidence in his smile. The front desk was always helpful in scheduling and treated us so kind. We highly recommend this office!”

    -Brigetta B.

WHY EAST IDAHO TRUSTS US WITH THEIR SMILES

We keep costs straightforward, offer options that fit your life, and tailor every plan to your goals. You will always know what to expect and always feel taken care of. No surprises, just results you can feel good about.

Expert orthodontic care with a genuine personal approach.

3,000+

Smiles Transformed

100,000

Brackets Placed

0

Rushed Appointments

Ready For A Smile You Love?

Braces or aligners, kids or adults, we’ll help you find the easiest path to the confident smile you’ve been wanting.

A dental clinic with dental chairs, overhead lights, and dental equipment, featuring a wall with the text 'East Idaho Orthodontics'.
A row of dental chairs in a bright room in Idaho Falls with wooden trim and cabinets, multiple dental lights overhead, and a neon sign that says 'Smile' on the back wall.
A Idaho Falls Orthodontist holding a dental model with braces, brushing the model's teeth with a toothbrush.